Il successo del tuo studio è la nostra priorità
Soluzioni dentali d'eccellenza per i migliori studi dentistici
Il tuo partner nell'eccellenza protesica e clinica
Attivi dal 2011 e forti di un’esperienza trentennale nell’odontotecnica, uniamo flussi di lavoro digitali avanzati, materiali di alta qualità e competenza tecnica per supportare il tuo studio. Dalla protesi complessa al supporto tecnico quotidiano, ci concentriamo su precisione, tempi di consegna rapidi e un’affidabilità su cui puoi contare. I tuoi risultati clinici sono la nostra priorità.
Il nostro studio
I nostri servizi
Seguiamo un protocollo di lavoro chiaro e collaudato per rendere ogni commessa semplice e puntuale. Grazie all’impiego di tecnologie digitali avanzate, garantiamo manufatti precisi, affidabili e risultati clinici prevedibili.
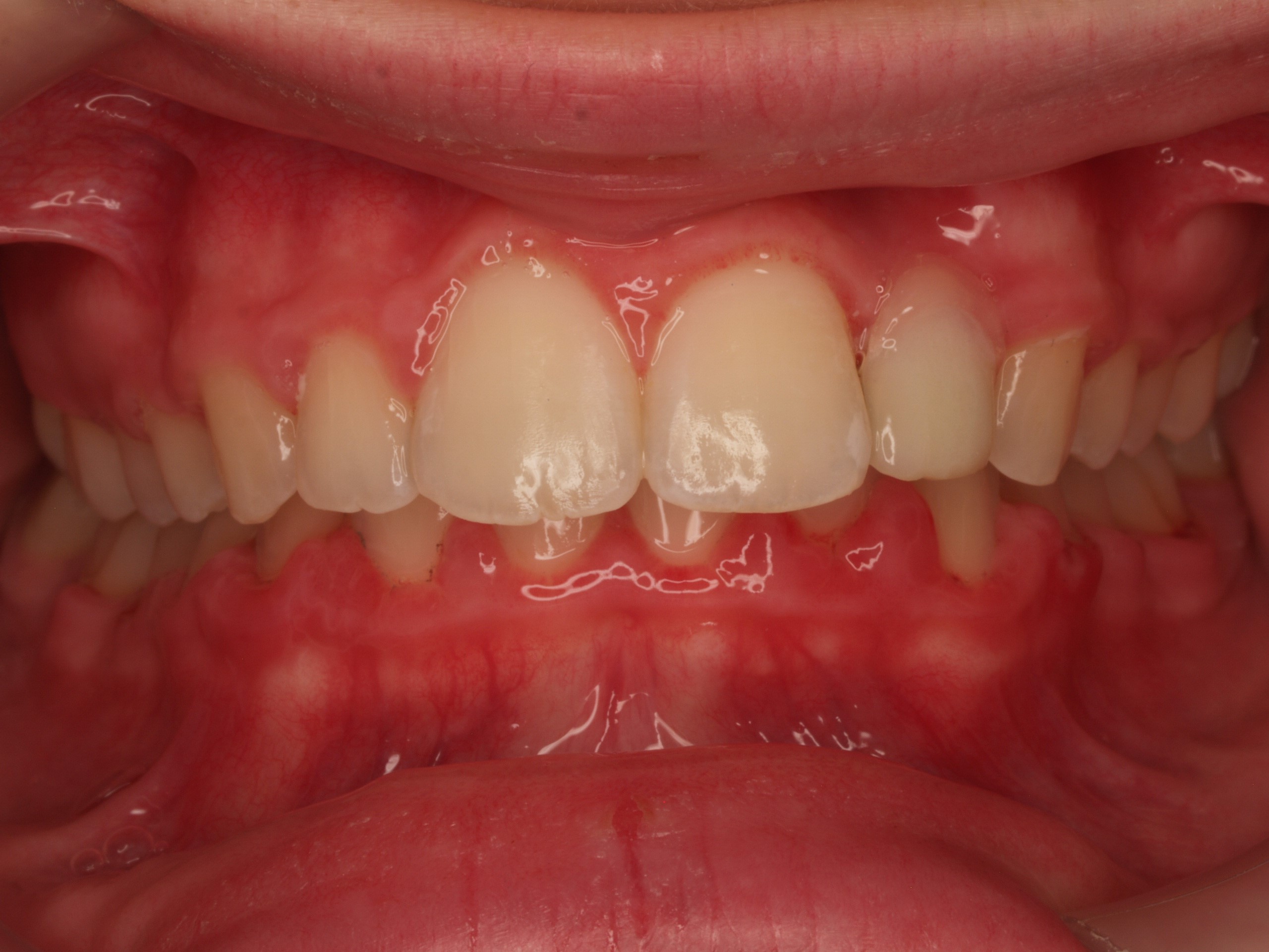
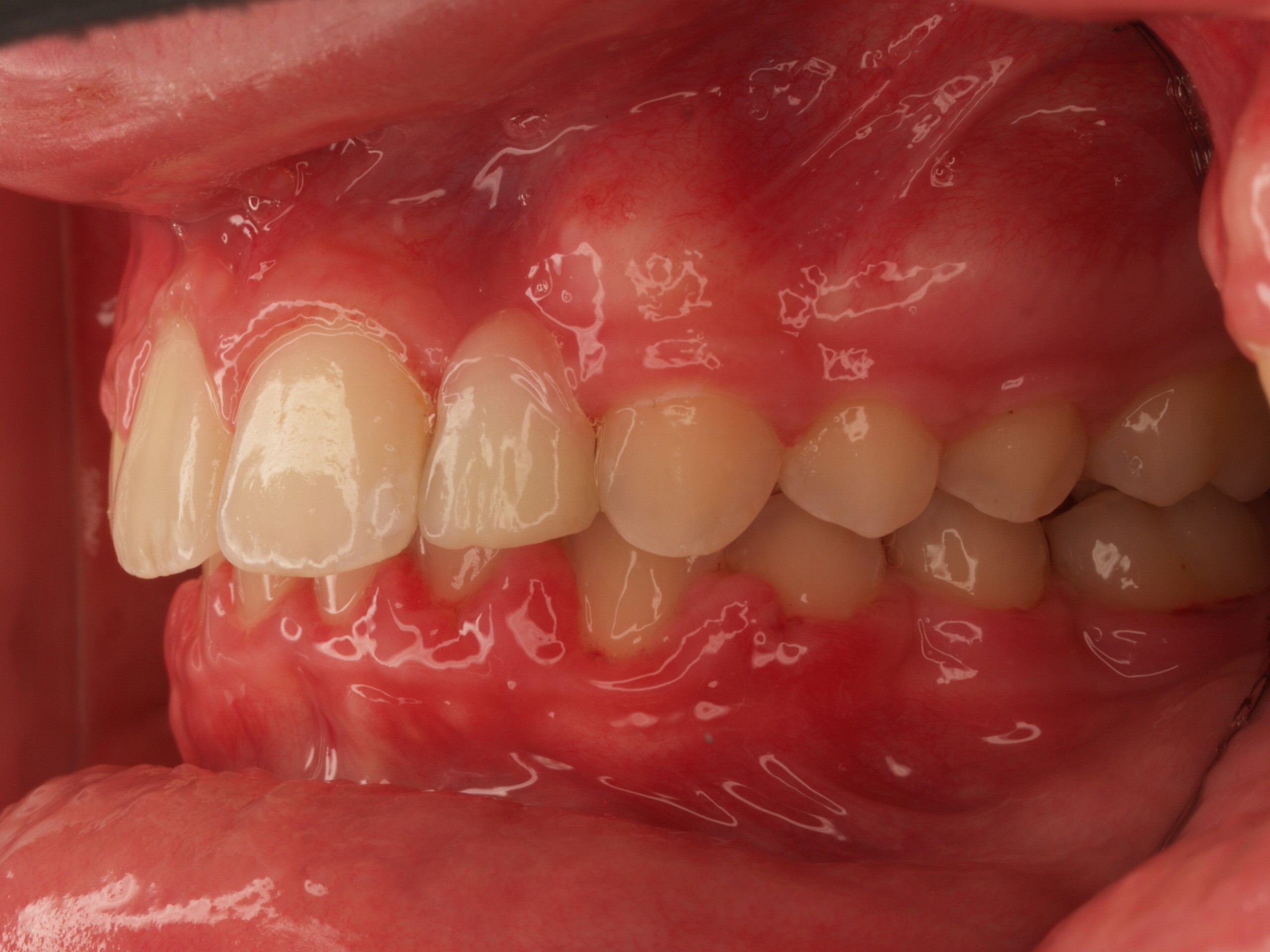
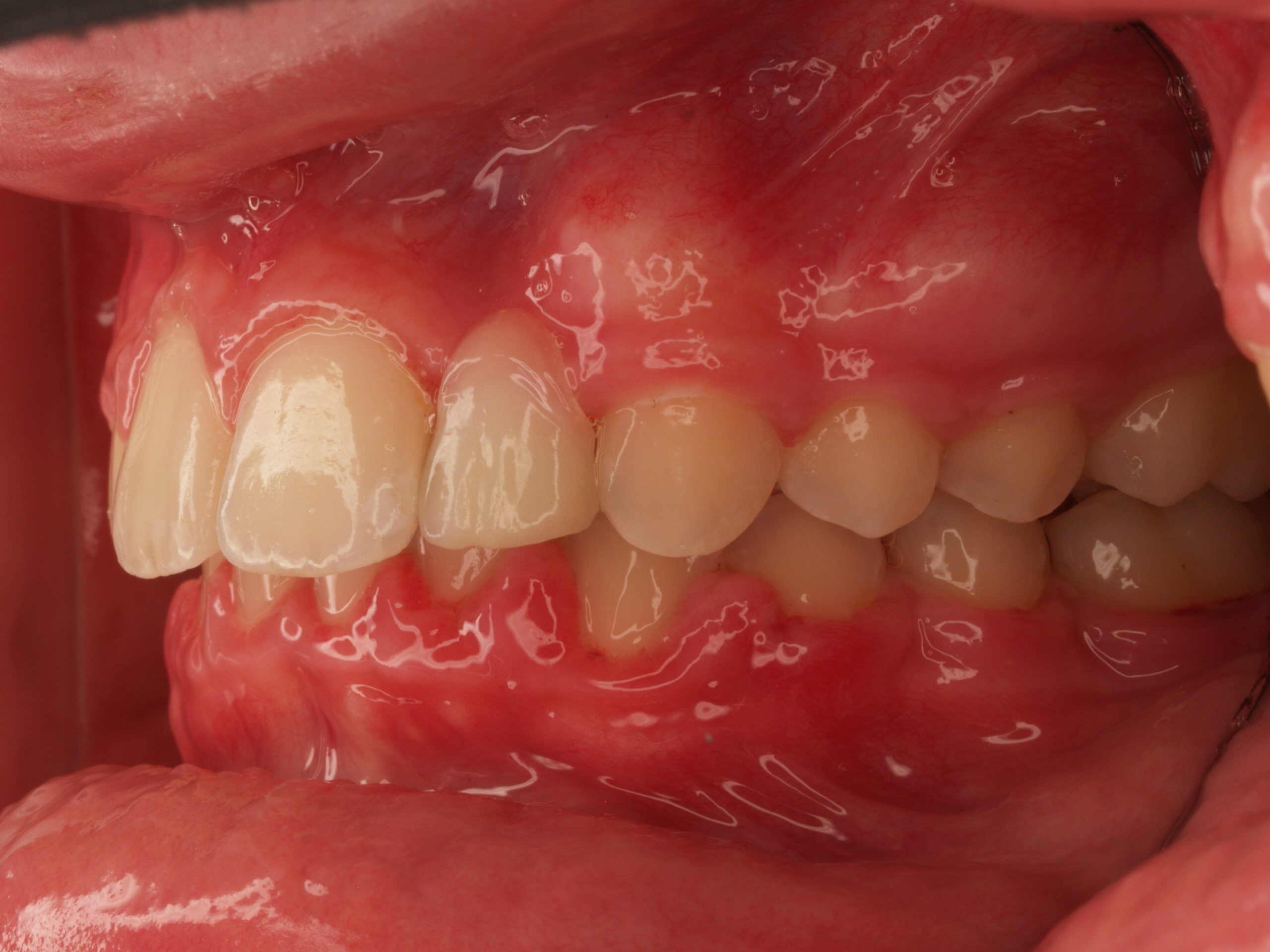
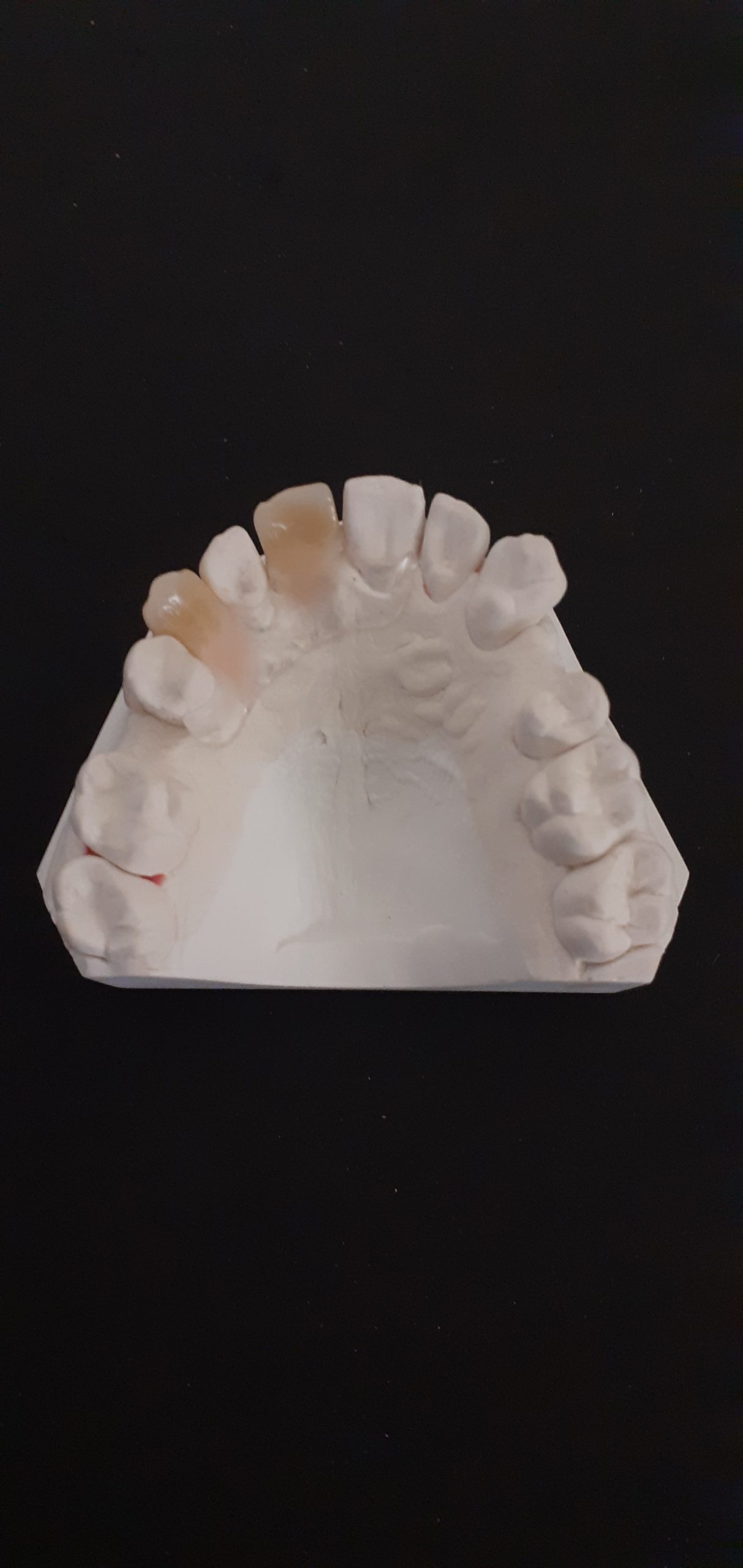
Ortodonzia digitale e tradizionale
Creiamo dispositivi ortodontici utilizzando sia tecniche tradizionali consolidate sia tecnologie digitali di ultima generazione, garantendo precisione, funzionalità ed elevata qualità estetica.
Grazie ai flussi di lavoro digitali, siamo in grado di progettare e produrre apparecchi ortodontici con elevata accuratezza attraverso software CAD e sistemi di stampa 3D, riducendo i tempi di lavorazione e migliorando la previsione del risultato terapeutico.
Parallelamente, continuiamo a offrire soluzioni realizzate con tecniche ortodontiche tradizionali, ideali per numerose indicazioni cliniche e personalizzate in base alle esigenze del professionista.
Realizziamo:
- Allineatori e mascherine ortodontiche
- Apparecchi ortodontici mobili
- Dispositivi funzionali
- Retainer e contenzioni
- Apparecchiature ortodontiche personalizzate
La combinazione tra esperienza artigianale e innovazione digitale ci consente di supportare gli studi dentistici con soluzioni affidabili, precise e su misura.
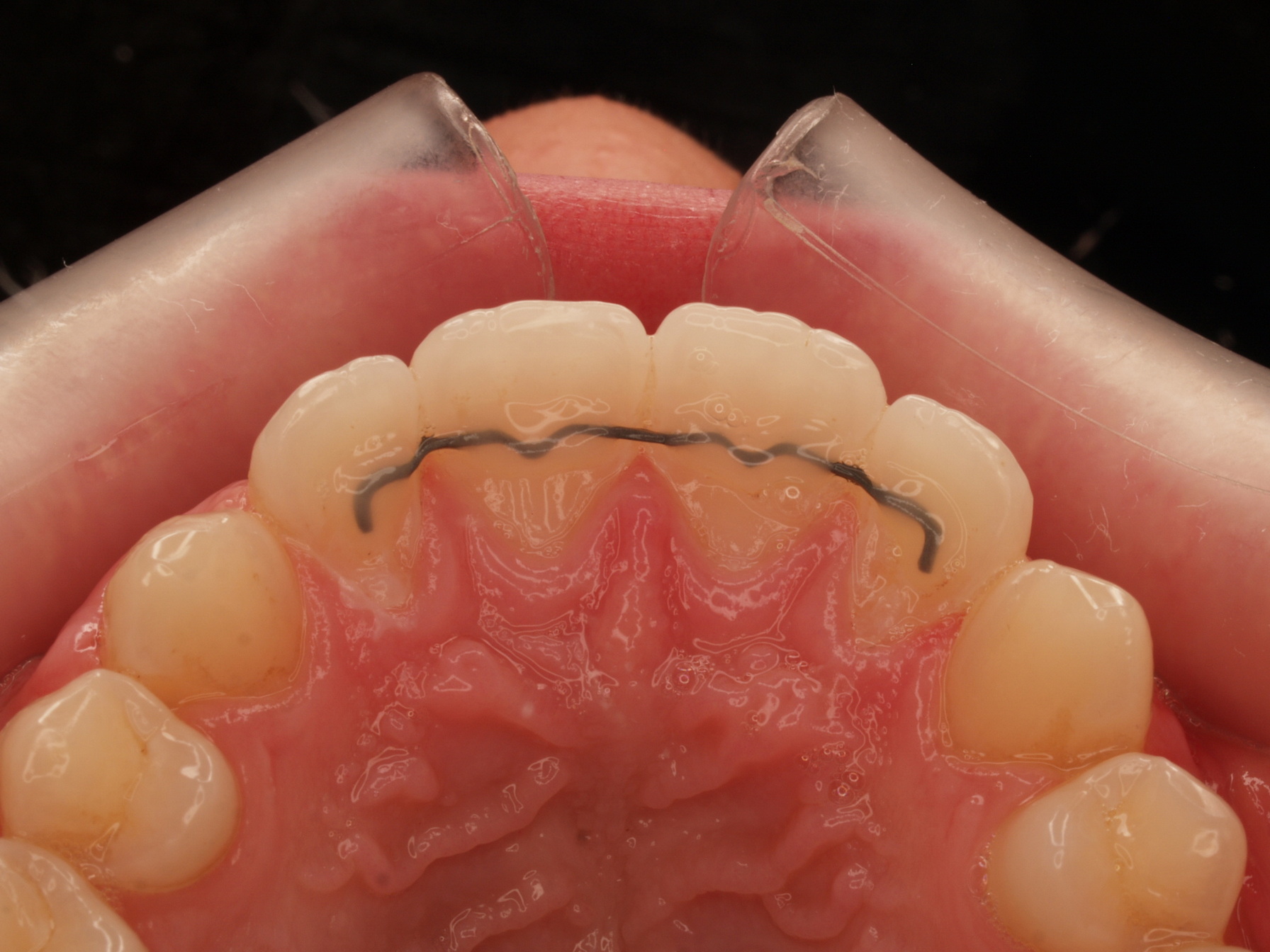
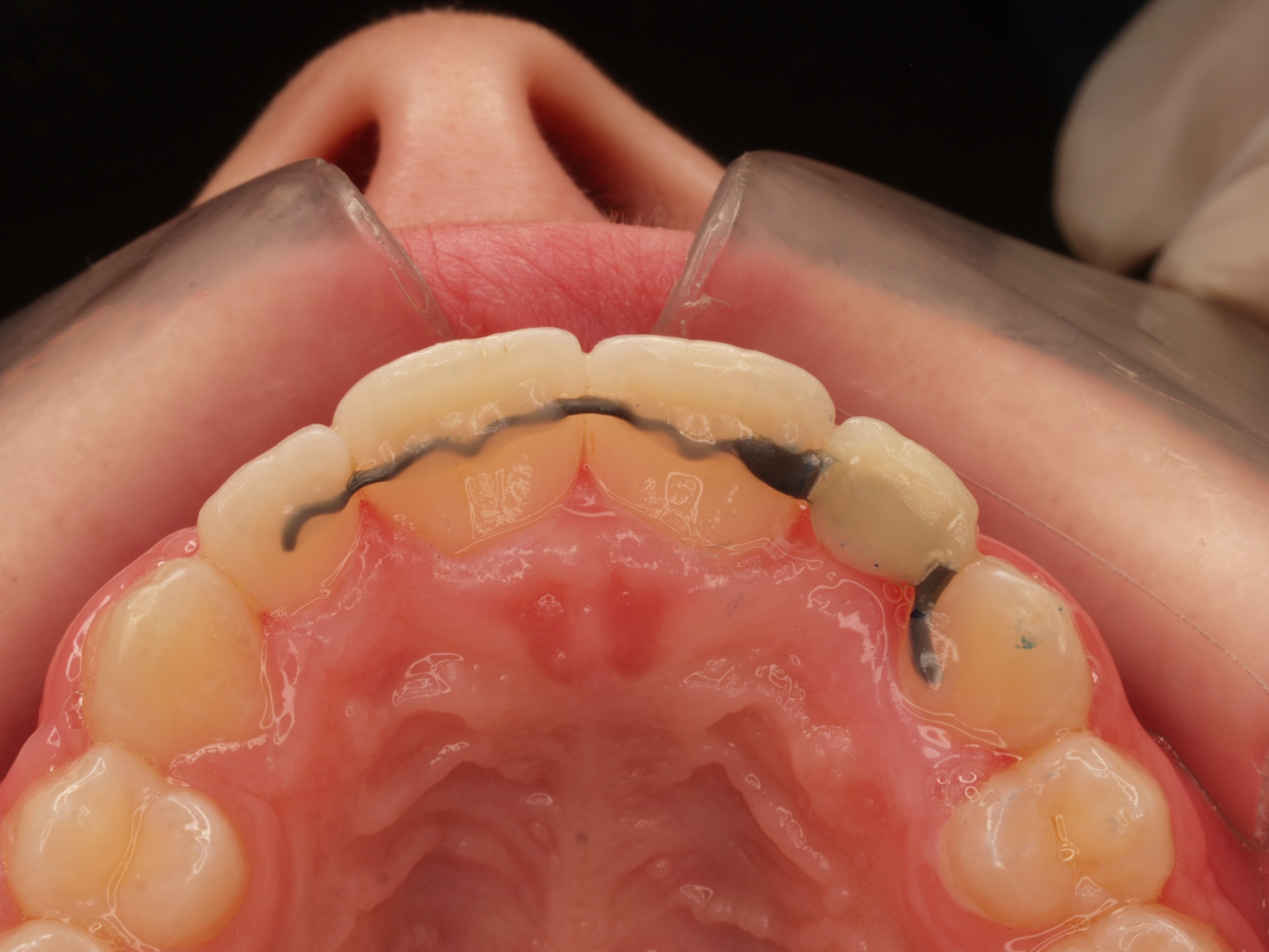
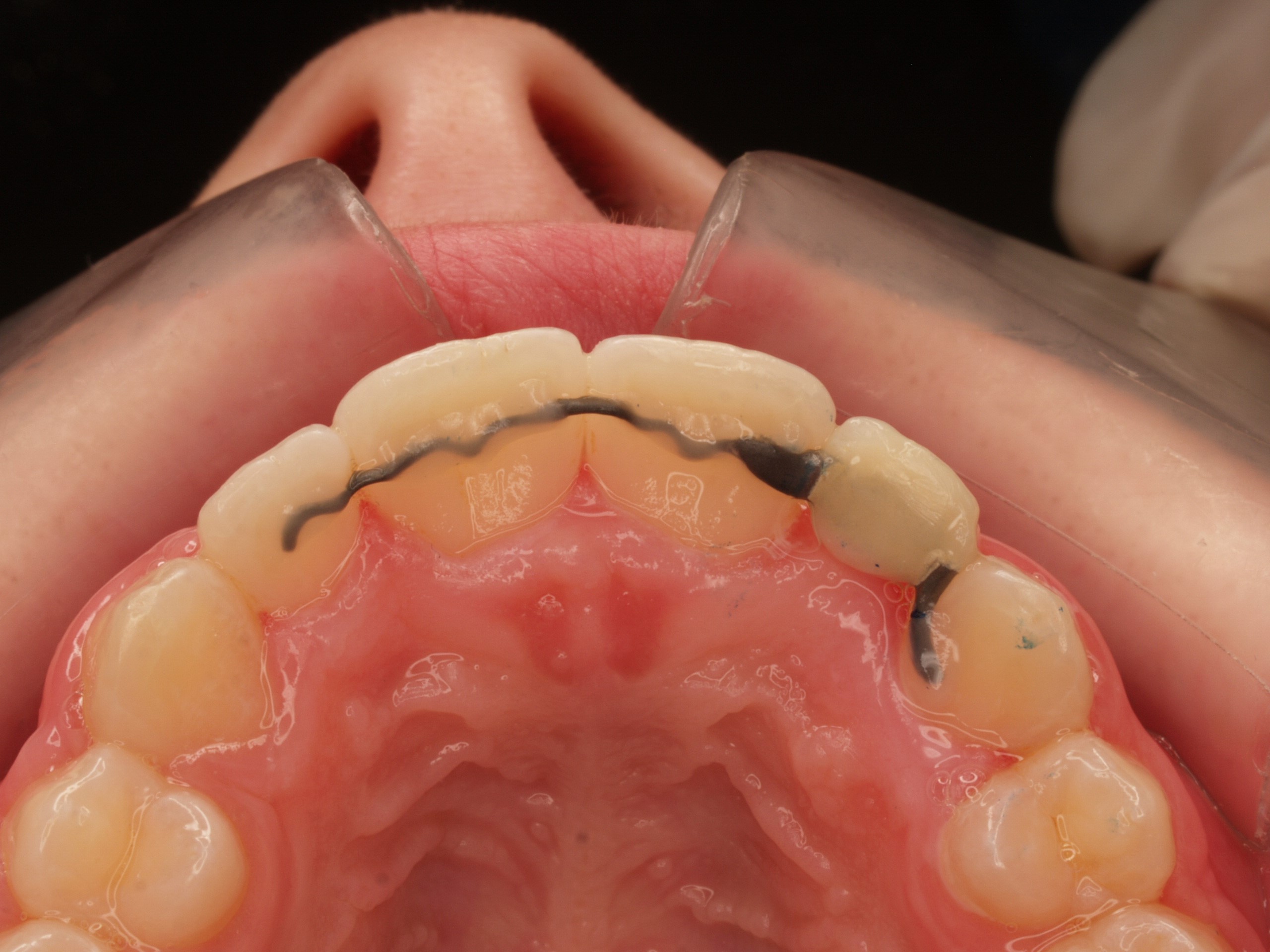
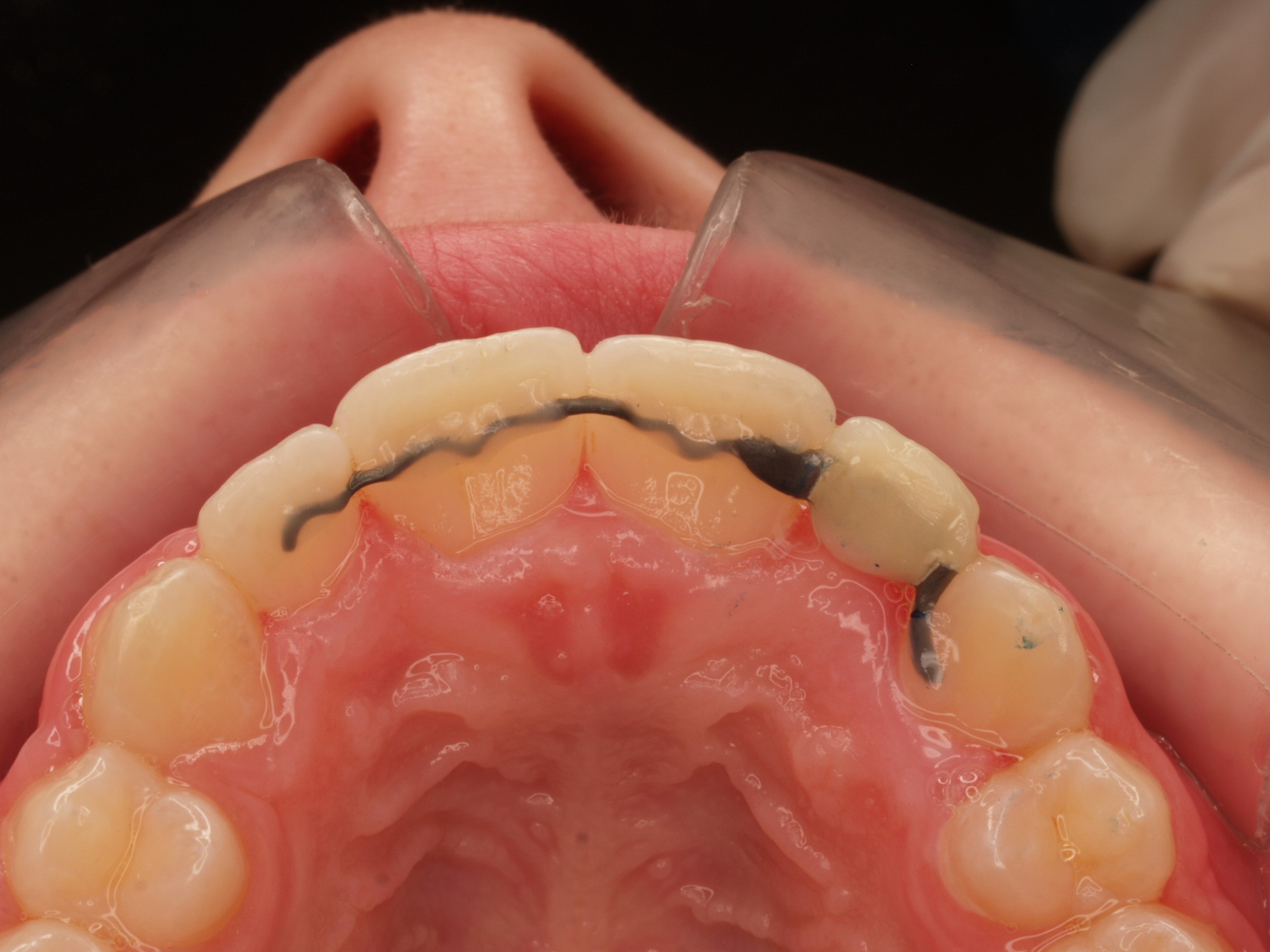
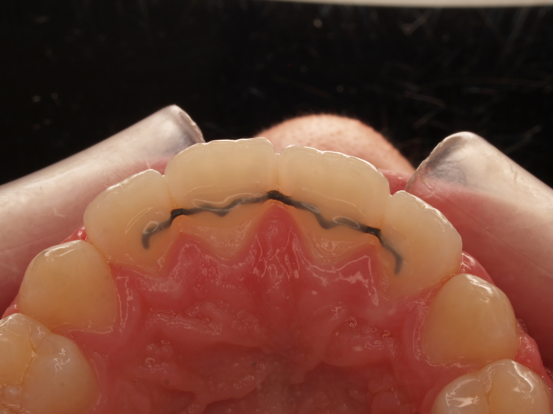
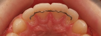
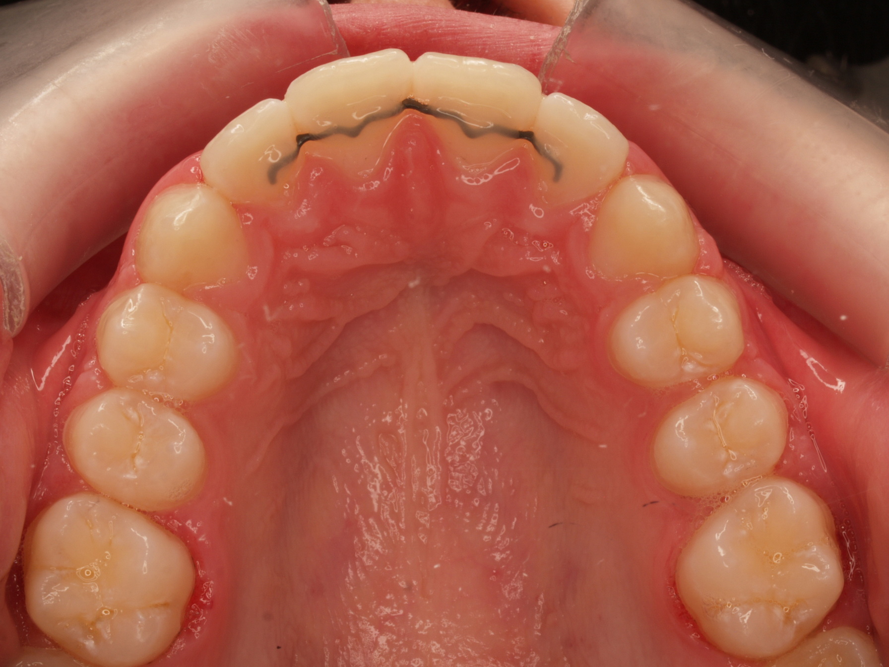
Retainer digitali
Realizziamo retainer e splintaggi digitali fresati in titanio grado 5, progettati tramite tecnologia CAD/CAM per garantire massima precisione, resistenza e biocompatibilità.
Questi dispositivi offrono stabilità nel tempo, elevata adattabilità e minimo ingombro, assicurando comfort e affidabilità nelle soluzioni di contenzione e stabilizzazione
Implantologia e riabilitazioni Full-Arch
Realizziamo riabilitazioni implantari complete, utilizzando tecnologie digitali CAD/CAM per garantire elevata precisione, passività e affidabilità nel tempo.
Produciamo protesi su impianti singoli e riabilitazioni full-arch, come soluzioni All-on-4 e All-on-6, progettate per offrire stabilità, funzionalità ed estetica ottimale.
Realizziamo strutture e protesi personalizzate utilizzando materiali di alta qualità, assicurando risultati precisi e soluzioni protesiche affidabili per ogni esigenza clinica.
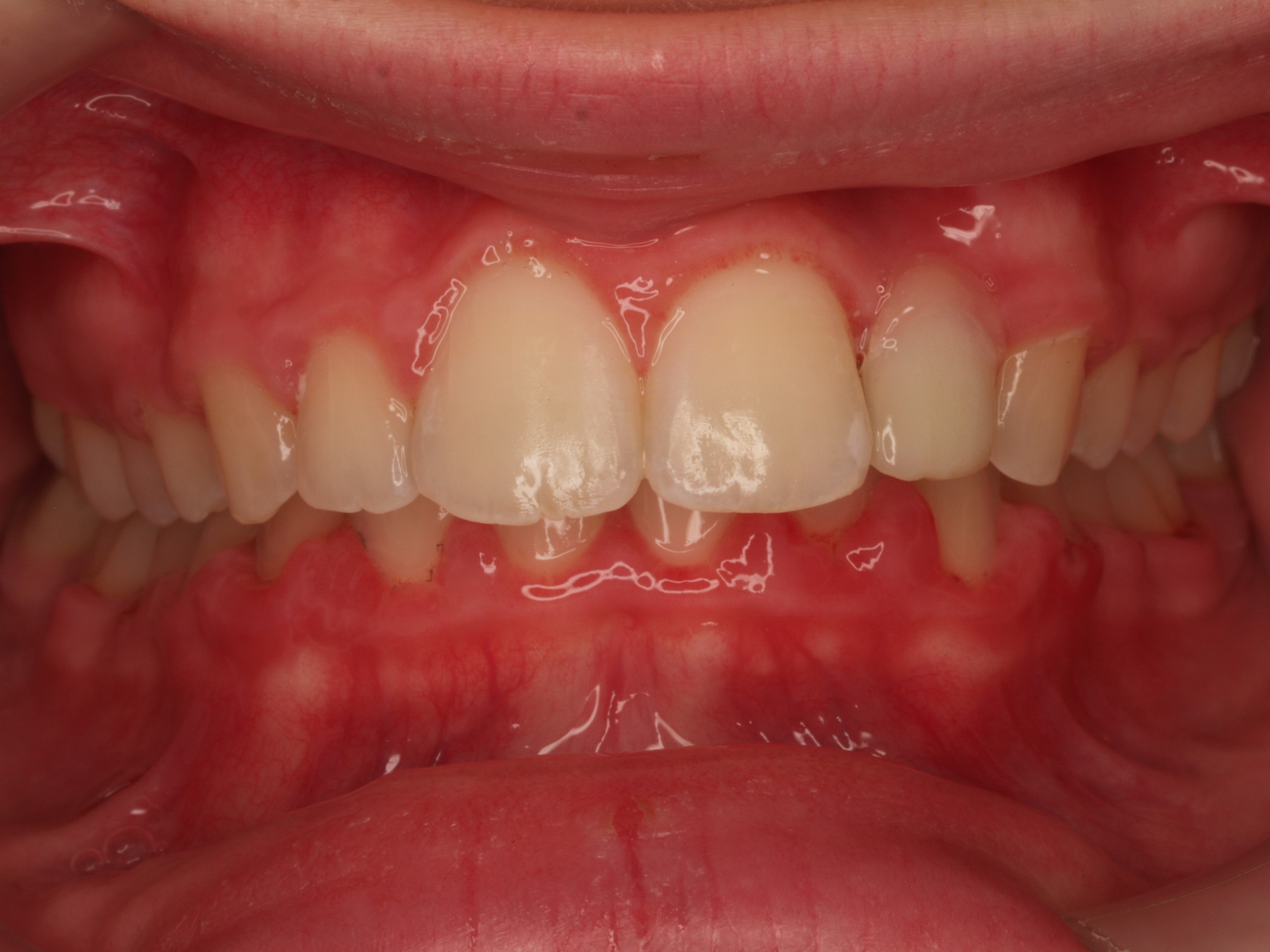
Protesi fissa
Sviluppiamo protesi fisse ad elevata precisione ed estetica, combinando esperienza odontotecnica e tecnologie digitali CAD/CAM. Il flusso di lavoro digitale consente una progettazione accurata e una realizzazione altamente controllata, garantendo risultati affidabili e riproducibili.
Produciamo corone singole, ponti e restauri su impianti, utilizzando materiali di ultima generazione come disilicato di litio, zirconia e strutture in cromo-cobalto, selezionati per assicurare resistenza, stabilità nel tempo e un’estetica naturale.
Ogni manufatto è realizzato su misura per rispondere alle specifiche esigenze cliniche, offrendo agli studi dentistici soluzioni protesiche funzionali, precise e di alta qualità.
Protesi mobile/combinata
Realizziamo protesi combinate e mobili con elevata precisione e attenzione all’estetica. Uniamo tecniche tradizionali e tecnologie digitali per garantire dispositivi funzionali, confortevoli e personalizzati.
Realizziamo scheletrati, protesi combinate con attacchi e barre, protesi totali e parziali, studiati per offrire stabilità, resistenza e un risultato estetico naturale
Lavorazioni per conto terzi
Offriamo servizi di lavorazione conto terzi per laboratori , supportando diverse fasi della produzione protesica CAD-CAM avanzate.
Realizziamo strutture e manufatti protesici in disilicato, cromo-cobalto, titanio grado 5 e tutti i materiali fresabili e saldature Laser, garantendo i tempi di consegna.
Contattaci oggi per una consulenza tecnica
30+
Anni di esperienza nel campo dell'odontoiatria















































































































































